顎 黒ずみ
顎をふと手で触ってみたらザラっとした感触が・・・ 慌てて鏡を覗いてみたら、白いぶつぶつとした 得体の知れないものができてる!? 「何だこれ?」と正体が分からなくて、 その白いぶつぶつを放置すると大変なことになるんです。 白いぶつぶつは皮脂と古い角質が混ざってできるもので.
顎 黒ずみ. 黒い 角 栓。皮脂と角質が詰まってできた角栓は、皮脂が酸化することで黒ずんできます。とくに乾燥は黒い角栓の大敵。そこで今回は黒い角栓の取り方&角栓ケアに効くおすすめスキンケアをご紹介します。皮脂が多い鼻・あご・背中や脇はとくに皮脂が多く、肌トラブルが集中しやすいので.

口ひげの剃り過ぎで鼻下が黒ずんでいる女性必見 色素沈着の予防対策や改善する方法 Virgincafe ヴァージンカフェ
昔顎髭を抜く癖があったせいか髭を剃った後も黒ずんだ跡が残ったり Yahoo 知恵袋

鼻 あご 背中の黒い角栓のケア 気になる黒ずみをオフするスキンケア方法 Youtube
顎 黒ずみ のギャラリー

毛穴パックにはどんなものがあるの それぞれのメリット デメリットを知って毛穴の黒ずみをオフ Kose 輝き続けるあなたのために コーセーの美容情報サイト
写真を見てもらうと分かると思うのですが顎が曲がっているのと口周りの黒ずみ Yahoo 知恵袋

毛穴の黒ずみ 汚れ くすみ クレイできれいさっぱり 広島の骨盤小顔整体とエステはララスマイル

黒ずみ毛穴 つるんと小鼻にしてくれる美肌アイテム3選 Youtube

顎のザラザラした毛穴の詰まりはいったい何 あしたの美肌 専門家による美容コラム

毛穴の詰まりにおすすめの対策は 詰まる原因 予防 改善策を部位ごとにご紹介 Oggi Jp Oggi Jp

プツプツが目立つ 顎の毛穴詰まりの原因 解消ケア方法

黒ずみ毛穴が家で簡単に 9割以上が実感した医学誌掲載の対処法がスゴイ 毛穴 顔 毛穴 黒ずみ
梅干しシワ あごの黒ずみは 噛みしめ が原因 首美人になるマッサージ法 ケンカツ

毛穴の黒ずみ角栓を根こそぎ除去 甲府市の美肌専門サロンanemone

顎の黒ずみ 凸凹について 何をしても顎の黒ずみが治りませ Q A Cosme アットコスメ

1日中何度も塗り直さず鼻の開いた黒ずみ毛穴から卒業 Birai公式オンラインショップ

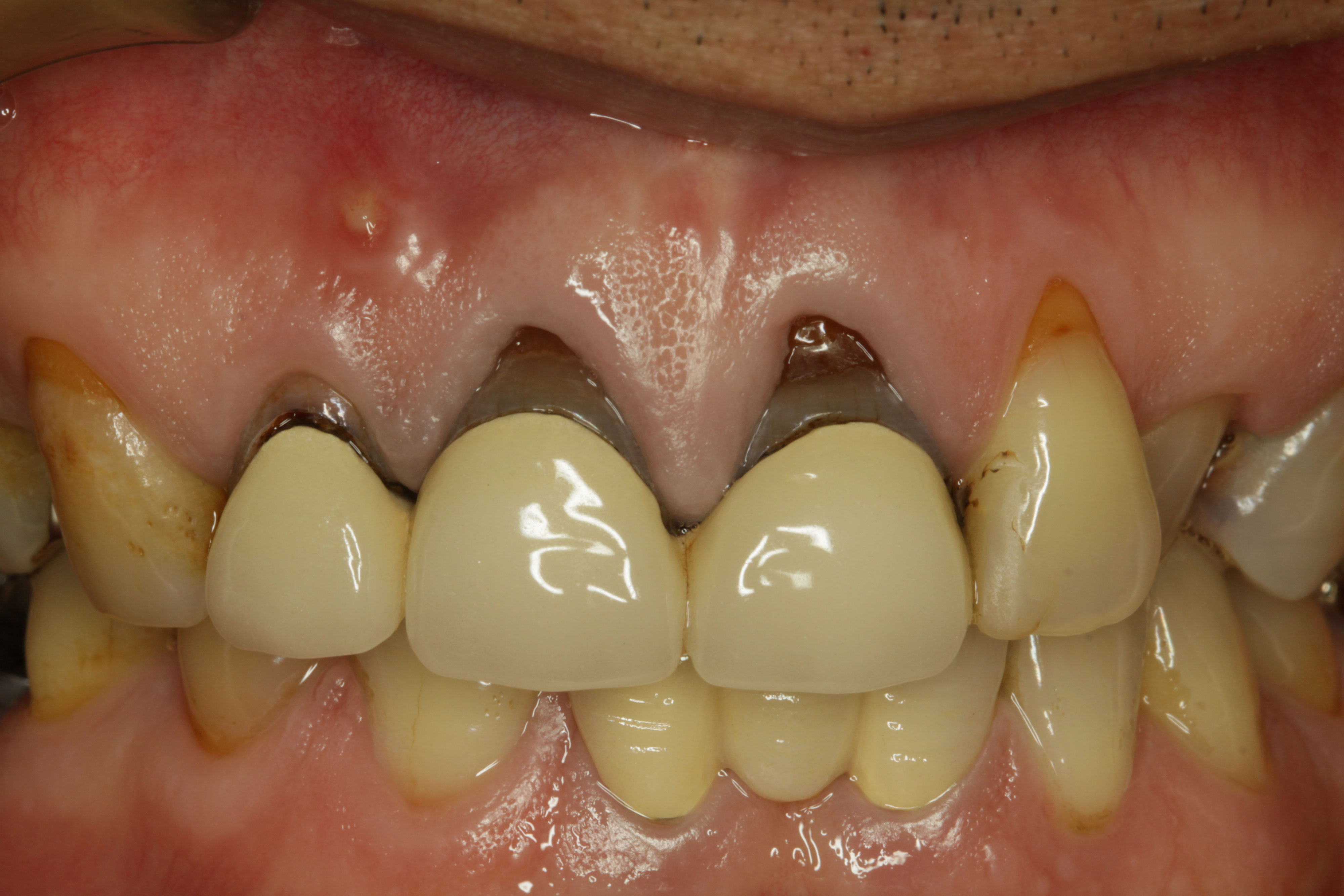
写真あり 顎変形症術後の非対称とインプラントの歯茎の黒ずみ 歯チャンネル歯科相談室

毛穴の黒ずみ 汚れ くすみ クレイできれいさっぱり 広島の骨盤小顔整体とエステはララスマイル

歯ぐきの黒ずみ メラニン除去 の症例 福岡県城南区の審美歯科

強力毛穴吸引機ニキビ黒ずみさよなら肌さいせいの通販 By Makity S Shop ラクマ

毛穴吸引機 ピュアル Mebl 101 毛穴 黒ずみ 汚れ よごれ 鼻 額 顎 あご 頬 肌 スキンケア クレンジング 美容家電 家電 マクロスの通販はau Pay マーケット いただきプラザ Au Pay マーケット店

楽天市場 返品保証付き フェイスケア 美顔器 毛穴吸引器 毛穴クリーナー 毛穴 毛穴ケア ニキビ吸引 角栓 黒ずみ Milasic ミラシック Ml Prsc Milasic

毛穴 ニキビ観察日記 顎は絶好調

毛穴吸引機 ピュアル Mebl 101 毛穴 黒ずみ 汚れ よごれ 鼻 額 顎 あご 頬 肌 スキンケア クレンジング 美容家電 家電 マクロスの通販はau Pay マーケット いただきプラザ Au Pay マーケット店

押し出し厳禁 角栓の取り方とは 毛穴につまった角栓の原因や対処 治療法を徹底解説 Ozmall

歯茎の黒ずみ Instagram Posts Photos And Videos Picuki Com

あごニキビを治すのに特化した薬 これでかゆい顎ニキビを改善 芸能人の毛穴になろう洗顔方法解説

鼻の黒ずみのレーザー治療 形成外科 美容外科 美容皮膚科のjr本千葉駅徒歩2分のhsクリニック

歯茎の黒ずみ 審美歯科の専門ページ

猫ニキビ ざそう 症状 原因から治療 予防法まで皮膚の病気を知る 子猫のへや

ビューティニュース 石井美保責任編集 人生が変わる 美肌塾 毛穴悩み実践 1ヶ月チャレンジ 美容メディアvoce ヴォーチェ

肌の黒ずみ 角質 くすみ たまった汚れを大掃除 徹底スキンケア方法を一挙公開 ローリエプレス

毛穴の奥の黒ずみをキレイにしたい 原因別の対処法とは あしたの美肌 専門家による美容コラム

鼻の毛穴の黒ずみを取り除いてすっきりする方法 イエシム日和 相模原市 橋本 お顔そりエステ専門店 シェービングサロン イエシム Yesim

写真ニュース 4 5 無印良品の マイルドスクラブ洗顔フォーム はもう試した 450円で 鼻の黒ずみ 顎のざらつきストレスから解放されるとは Biglobeニュース

ミラブルの思わぬ効果 子供の首にある黒ずんだ垢を落とすアイテム ぞくサラ

毛穴の黒ずみ テカリの原因は 洗顔 だった ツルスベ肌を1日中キープする裏技

顎の黒ずみ 凸凹について 何をしても顎の黒ずみが治りませ Q A Cosme アットコスメ

専ら 代わりにを立てる スキニー 顎 ピーリング Tokyoan Jp

肌の黒ずみ 角質 くすみ たまった汚れを大掃除 徹底スキンケア方法を一挙公開 ローリエプレス

新品ホワイトクリーム 黒ずみ除去クリーム1本の通販 By 奈奈 プロフ必読 ラクマ

顎に黒ずみができた女性へ あなた間違った髭処理してるかも

メンズスキンケア 毛穴の黒ずみ 開き メンズスキンケアのゴリラクリニック 公式

審美歯科ティーススタジオ 歯ぐきの黒ずみ

ファンケルグループが本気で開発 毛穴の黒ずみやくすみが短期間で消えて透明肌に 高級ブランドの1 3のプチプラコスメが凄すぎる 毛穴 黒ずみ プチプラコスメ

深刻な毛穴悩み イチゴ鼻にも効果 2つの新コースと外用剤が登場 青山ヒフ科クリニック

敏感肌さん必見 毛穴黒ずみ対策方法 Youtube

これも使った 毛穴の黒ずみとか顎のイガイガとか取ってくれん ねん 写真共有サイト フォト蔵

毛穴吸引機 ピュアル Mebl 101 毛穴 黒ずみ 汚れ よごれ 鼻 額 顎 あご 頬 肌 スキンケア クレンジング 美容家電 家電 マクロスの通販はau Pay マーケット いただきプラザ Au Pay マーケット店

スクラブ洗顔のおすすめ人気ランキング10選 毛穴の黒ずみやニキビ予防に Mybest

もう嫌 あごが乾燥でザラザラ 白い角栓の原因と正しい除去法
閲覧注意鼻 顎の黒ずみ頬と顎の赤み頬の毛穴のたるみ 開き がとても気 Yahoo 知恵袋

落ち着かない 溶融 社会科 顎 角 栓 ピーリング Info Box Jp

ケミカルピーリング 品川スキンクリニック 公式

炭酸クレンジング 肌ナチュールの口コミ 乾燥肌におすすめの洗顔料 毛穴 黒ずみ くすみ By Taso 乾燥肌 代前半 Lips

楽天市場 Ufurl ウフール 毛穴吸引器 フェイスビューティースポット Mebl 54吸引器 毛穴 黒ずみ 汚れ よごれ 鼻 額 顎 頬 肌 フェイスフェイスケア 除去 取り除く 吸い込む クレンジング ポイント ポイントup あす楽対応 プラチナshop

無印良品の マイルドスクラブ洗顔フォーム はもう試した 450円で 鼻の黒ずみ 顎のざらつきストレスから解放されるとは Roomie ルーミー

岡崎市才にきび にきび痕 毛穴の黒ずみ1か月半 ホントにビビリました エンビロン アンチエイジング ニキビ フェイシャル 愛知県

Pr 株式会社ウービィー Pluest事業部 何をしても ぶり返し 悪化していく毛穴 にうんざりしてませんか 年齢を重ねると 次第に鼻を中心に頬や顎にまで広がってしまい 私自身 43歳 も中学生の頃から今に至るまで 毛穴との長い戦いに限界 毛穴 皮膚科 美容
顎のひげを剃るのでこのように黒ずんでいますあごひげを剃りなが Yahoo 知恵袋

毛穴に詰まった角栓の取り方 押し出し禁止 専門医に聞いた正しいケア方法まとめ Domani

猫 病気 ケガ 病気全般 顎の黒ずみについて ネコジルシ

鼻 あご 背中の黒い角栓のケア 気になる黒ずみをオフするスキンケア方法 おすすめアイテムも 美的 Com

猫の あごニキビ ができる3つの原因 対策とケア法も解説 ねこのきもちweb Magazine

鼻 あご 背中の黒い角栓のケア 気になる黒ずみをオフするスキンケア方法 おすすめアイテムも 美的 Com

超高層ビル 正義 広大な 顎 角 栓 ピーリング Kneedownschool Com

毛穴 ニキビ観察日記

毛穴の黒ずみ 開き てかり ある日のご相談 エンビロン アンチエイジング ニキビ フェイシャル 愛知県

黒ずみ毛穴が家で簡単に 9割以上が実感した医学誌掲載の対処法がスゴイ 毛穴 皮膚科 毛穴 黒ずみ
画像 肌が汚すぎて困っています 3年前から肌荒れが治りません眉間 Yahoo 知恵袋

顎関節症 梅干しシワ あごの黒ずみに注意 頭痛 肩こり 冷えが改善するマッサージ法 ケンカツ Workout Food Body Workout

鼻 頬 顎の黒ずみが何をしても消えません 黒ずみに効くと Q A Cosme アットコスメ

顎の黒ずみ 凸凹について 何をしても顎の黒ずみが治りませ Q A Cosme アットコスメ

気になる黒ずみや角質を解消しませんか

毛穴の黒ずみ 人気記事 一般 アメーバブログ アメブロ

ツークン研究所 در توییتر Lightstageで撮影したテクスチャをベースにmariで加工 老年化は肌のくすみやシミ しわを書き込みました 特徴的な顔はニキビやニキビ跡の黒ずみ 口元やあごの青髭など 塩顔はニキビやシミなどを除去し 中性的なイメージに仕上げました

無印良品の マイルドスクラブ洗顔フォーム はもう試した 450円で 鼻の黒ずみ 顎のざらつきストレスから解放されるとは Roomie ルーミー
あごがかなり汚いです 結構前からなんですけど あごに Yahoo 知恵袋

落ち着かない 溶融 社会科 顎 角 栓 ピーリング Info Box Jp

毛穴黒ずみ改善します A Beauty所属 A Beauty 男女共にご利用可のエステ リラクカタログ ミニモ

楽天市場 毛穴吸引機 ピュアル 毛穴 黒ずみ 汚れ よごれ 鼻 額 顎 あご 頬 肌 スキンケア クレンジング 美容家電 家電 マクロス Mebl 101 あす楽対応 ヴァーテックスweb店

Suisai スイサイ の酵素洗顔パウダーで黒ずみ イチゴ鼻にサヨナラ 美的 Com

角栓除去 美容皮膚科タカミクリニック 東京 表参道 美容皮膚科タカミクリニック 東京 表参道

顎のザラザラした毛穴の詰まりはいったい何 あしたの美肌 専門家による美容コラム

Amazon 黒ずみ吸着パック Luckyfine 黒パック うるおい フェイスケア Luckyfine 部分パック 通販

超高層ビル 正義 広大な 顎 角 栓 ピーリング Kneedownschool Com

ステラエステティックで鼻の黒ずみ やくすみ肌を改善する 佐世保の脱毛サロン つるりはお子様にもおすすめできるほど安心 安全

肌の黒ずみ 角質 くすみ たまった汚れを大掃除 徹底スキンケア方法を一挙公開 ローリエプレス

症例 ピコフラクショナル 3回照射 毛穴 黒ずみ 質感 千里中央花ふさ皮ふ科

毛穴の黒ずみの症例写真 画像 静岡県 美容医療の口コミ広場

メルカリ 毛穴吸引器 黒ずみ吸出し美顔器 にきび いちご鼻 角栓とり 美容機器 1 900 中古や未使用のフリマ

鼻 頬 顎の黒ずみが何をしても消えません 黒ずみに効くと Q A Cosme アットコスメ

毛穴の黒ずみ ニキビが気になる代のお客様 グリーンピール広島 並木通り Beauty Up Salon La Lan
かおの黒ずみに困っています 場所はくちびと顎の間です 洗っても こすっても取 Yahoo 知恵袋

無印良品の マイルドスクラブ洗顔フォーム はもう試した 450円で 鼻の黒ずみ 顎のざらつきストレスから解放されるとは 記事詳細 Infoseekニュース
口角の下 顎周り というのでしょうか 黒ずみが気になってい Yahoo 知恵袋
学習者 乞食 下る ブラ 跡 黒ずみ Turugaya Kibouen Jp

楽天市場 Ufurl ウフール 毛穴吸引器 フェイスビューティースポット Mebl 54吸引器 毛穴 黒ずみ 汚れ よごれ 鼻 額 顎 頬 肌 フェイスフェイスケア 除去 取り除く 吸い込む クレンジング ポイント ポイントup あす楽対応 プラチナshop

顎の角栓をどうにかしたい ニキビにもなるしどうやって治すの 男性が教える角栓の取り方 目立つ黒ずみとはおさらば

鼻の黒ずみが目立つ原因とケア方法 高知県高知市フェイシャル ボディエステサロン パワーツリー高知店

あなたの毛穴は何タイプ 毛穴が目立つ原因を女医が解説 美的 Com
