口 黒ずみ レーザー
3 鼻下や口周りの黒ずみの改善や予防対策はセルフケアでできる 31 ハーバルラビットナチュラルゲルクリーム;.
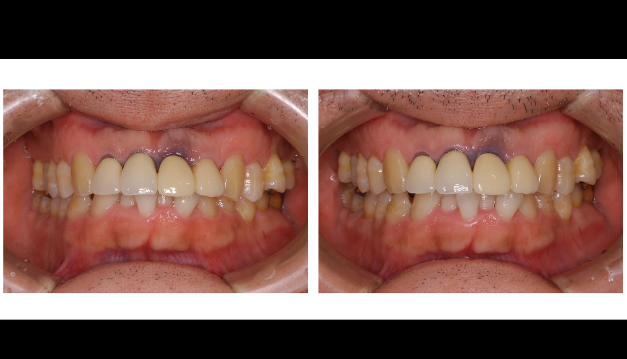
口 黒ずみ レーザー. 歯ぐきの黒ずみを除去する治療 9、800円~ / 1回(自費診療) 口内炎の改善 口内炎の改善もレーザー治療器の得意種目です。 レーザー照射によって口内炎を蒸散させることで、痛みはやわらぎ、治癒も短期間です。. 黒ずみのレーザー治療を検討していますが、血液検査は必要ですか? (31歳) 21年01月日 以前尿漏れのためにTVT手術をしましたが、インティマレーザーを受けることは出来ますか?. 黒ずみのレーザー治療を検討していますが、血液検査は必要ですか? (31歳) 21年01月日 以前尿漏れのためにTVT手術をしましたが、インティマレーザーを受けることは出来ますか?.
口内炎 レーザーによって、口の中や唇にできる口内炎の痛みをすぐに和らげ、回復を早めます。 歯ぐきの黒ずみ メラニンという色素は、歯ぐきを黒くします。この黒ずみは、レーザー照射によって短時間で除去することができます。. ニップルケアピコレーザー乳頭(乳首)乳輪の黒ずみレーザー治療の治療のご相談は秋葉原中央クリニックにお気軽にお問い合わせくださいませ。 akibabiyou@chuohcliniccojp ★関連する記事★ バストトップの黒ずみの原因. レーザーメス、止血、口内炎、歯ぐきの黒ずみ 歯科用レーザーとしては、一番普及しているタイプです。 組織表面にエネルギーが作用するので、ほとんど出血せずに歯肉などの切開ができます。 他にも、止血や口内炎の治療などにも使われます。.
口周りの黒ずみでお悩みの方は多くおられます。 qスイッチルビーレーザーを当てて、二週間ほどになります。 かさぶたが剥がれた後は、ピンク色というよりも、もとのシミより濃い色の色素沈着のような感じになっています。. 口内炎 口腔内や唇にできる口内炎や口角炎の痛みはとても辛いです。 レーザー治療で痛みが和らぎ、治りも早くなります。 義歯があたってできる潰瘍(かいよう)にも同様な治療効果があります。 歯茎の黒ずみ. レーザーメス、止血、口内炎、歯ぐきの黒ずみ 歯科用レーザーとしては、一番普及しているタイプです。 組織表面にエネルギーが作用するので、ほとんど出血せずに歯肉などの切開ができます。 他にも、止血や口内炎の治療などにも使われます。.
口周りの黒ずみでお悩みの方は多くおられます。 qスイッチルビーレーザーを当てて、二週間ほどになります。 かさぶたが剥がれた後は、ピンク色というよりも、もとのシミより濃い色の色素沈着のような感じになっています。. レーザーは口内炎や虫歯の治療などの場合には保険適応になり保険診療で出来ますが、メラニン色素除去などその他の治療をする場合には自費の治療(自由診療)で保険適用外になってしまうことがあります。 歯ぐきの黒ずみ 数回のレーザー照射で. レーザーは口内炎や虫歯の治療などの場合には保険適応になり保険診療で出来ますが、メラニン色素除去などその他の治療をする場合には自費の治療(自由診療)で保険適用外になってしまうことがあります。 歯ぐきの黒ずみ 数回のレーザー照射で.
何故だか分からないけど、口の周り・唇の横辺りに黒ずみ ができていて、汚れているように見えてしまう・・・ と悩んでいる女性も多いと思います。 口の周りが黒いと、汚れや髭のように見えてしまうので、 印象として悪いですよね。 口元が泥棒のようにならないようにも、な. 口内炎 口腔内や唇にできる口内炎や口角炎の痛みはとても辛いです。 レーザー治療で痛みが和らぎ、治りも早くなります。 義歯があたってできる潰瘍(かいよう)にも同様な治療効果があります。 歯茎の黒ずみ. 3 鼻下や口周りの黒ずみの改善や予防対策はセルフケアでできる 31 ハーバルラビットナチュラルゲルクリーム;.
口周りの黒ずみはクリームで治る?レーザー治療みたいなものが良い? 19歳、男です。 唇の周りが泥棒ヒゲのような感じで、唇を囲うように黒ずんでいます。 何かクリームで治るのか、レーザー治療みたいなものが良いのか分かりません。. 黒ずみのレーザー治療を検討していますが、血液検査は必要ですか? (31歳) 21年01月日 以前尿漏れのためにTVT手術をしましたが、インティマレーザーを受けることは出来ますか?. 3 鼻下や口周りの黒ずみの改善や予防対策はセルフケアでできる 31 ハーバルラビットナチュラルゲルクリーム;.
レーザーは口内炎や虫歯の治療などの場合には保険適応になり保険診療で出来ますが、メラニン色素除去などその他の治療をする場合には自費の治療(自由診療)で保険適用外になってしまうことがあります。 歯ぐきの黒ずみ 数回のレーザー照射で. 口内炎 口腔内や唇にできる口内炎や口角炎の痛みはとても辛いです。 レーザー治療で痛みが和らぎ、治りも早くなります。 義歯があたってできる潰瘍(かいよう)にも同様な治療効果があります。 歯茎の黒ずみ. 口周りの黒ずみを取る方法 口周りの黒ずみは様々な理由によって起こります。発見すると鬱陶しいですが、ほとんどの場合除去することが可能です。原因がはっきりすれば、適切な処置を施して黒ずみを消すことができます。 口周りの黒ずみの原因を知る 黒ずみは肌の特定エリアに、肌を.
黒ずみのレーザー治療を検討していますが、血液検査は必要ですか? (31歳) 21年01月日 以前尿漏れのためにTVT手術をしましたが、インティマレーザーを受けることは出来ますか?.

口角の黒ずみが治った方法を大公開 原因を理解して再発防止 くちびるガビガビ Note
写真をみてください 口周り ほうれい線にかけて口元まで黒いで Yahoo 知恵袋

唇のふちの黒ずみ 原因と対策方法は 唇ケアにおすすめのリップetc 11選 Lips
口 黒ずみ レーザー のギャラリー

口 唇 公式 秋葉原中央クリニック 美容外科 美容整形

唇のふちの黒ずみ 原因と対策方法は 唇ケアにおすすめのリップetc 11選 Lips

歯肉のトラブルに 歯科レーザーでの処置 東京 銀座の審美歯科 銀座池渕歯科

デリケートゾーン専用黒ずみ解消レーザー 婦人科形成なら湘南美容クリニック 公式

口角の黒ずみが治った方法を大公開 原因を理解して再発防止 くちびるガビガビ Note

冬のスキンケア レーザー治療経験者の4割以上が知っているのに 未経験者の9割以上が 成長因子 を知らないことが発覚 時事ドットコム

メラニン

ウルトラ美白レーザー 医療レーザー外来なら湘南美容クリニック 公式

レーザー脱毛 メディカルエステ For Men 荒木医院 メディカルエステ 美容皮膚科 皮膚科 アレルギー科

口元の黒ずみ ほうれい線へのファンデの塗り方について 2回 Q A Cosme アットコスメ

インティマレーザー 膣縮小 大阪 心斎橋 梅田 福岡 博多 のwクリニック

膣引き締め 尿漏れ 黒ずみ改善レーザー インティマレーザー 副作用 効果について 銀座 麻布十番 大阪 奈良の美容皮膚科 美容整形 美容外科なら敬愛会 公式

フォトナレーザー スムースリフト 大阪 心斎橋 梅田 のwクリニック
このレベルの毛穴は医療レーザー治療でマシになりますか 毛穴の Yahoo 知恵袋

体験談 高性能医療用レーザー と 殺菌水 で虫歯を治療 まるで口の中が Star Wars 状態に ごりらのせなか

レーザー治療 大山皮膚科 足立区 五反野駅1分の皮膚科

膣引き締め 尿漏れ 黒ずみ改善レーザー インティマレーザー 副作用 効果について 銀座 麻布十番 大阪 奈良の美容皮膚科 美容整形 美容外科なら敬愛会 公式

肝斑 かんぱん の治療 美容整形 美容外科 船橋中央 青山セレスクリニック
写真見てください 口周りの黒ずみがひどいです どうした Yahoo 知恵袋

レーザーフェイシャル 美容医療 西宮 甲子園口 ゆぐちクリニック 消化器内科 婦人科 産科

歯グキの黒ずみがレーザーで直らなかった方へ 北インター歯科クリニック 院長ブログ

美容皮膚科医監修 いちご鼻 毛穴の黒ずみの原因は 小鼻の角栓の対処 治療法を徹底解説 Ozmall

症例写真供覧 ピコレーザー でシミ 色素沈着による色ムラを改善して均一美肌に 銀座ケイスキンクリニック院長 トモコセンセのブログ

口唇のホクロ シミ ソバカス 新宿 高田馬場の皮膚科 美容皮膚科 山手皮フ科クリニック

歯肉の黒ずみ 歯肉メラニン色素沈着 が気になったら 協会けんぽ 健康サポート

福岡市天神で毛穴 黒ずみ毛穴 開き毛穴 改善なら 天神かよこクリニック

インティマレーザー 尿漏れ 膣縮小 黒ずみ 公式 オザキクリニック 美容整形 美容外科 美容皮膚科 東京新宿 目黒祐天寺 羽村

アトピーの首の黒ずみ レーザー後の色素沈着にピコレーザトーニング 札幌白石ガーデンプレイス皮膚科 美容皮膚科女医のブログ

フラクショナルレーザー フラクセル2 Eco2 診療案内 共立美容外科宇都宮院 栃木県宇都宮市の美容外科 美容皮膚科 美容整形

40代 女性 口周りの黒ずみ 肝斑 症例写真 美容整形 美容外科なら聖心美容クリニック
口周りの黒ずみを取る 3つの方法 Wikihow

口角の黒ずみが治った方法を大公開 原因を理解して再発防止 くちびるガビガビ Note

毛穴 黒ずみ 角質 広島でシミ しわ たるみ治療 美容外科手術などは並木sクリニック
人気の美容皮膚科医による 安いシミ取り 質問回答 西宮美容クリニックの美容 美肌ブログ

レーザー治療のことなら熊本市北区楠の渡辺歯科医院

アレキサンドライトレーザー レーザー治療 恵比寿院 東京都渋谷区 美容皮膚科シロノクリニック

レーザートーニング 専用レーザーによる肝斑治療 有楽町美容外科クリニック

口角の黒ずみが治った方法を大公開 原因を理解して再発防止 くちびるガビガビ Note

渡辺歯科クリニック レーザー治療

口 唇 リップピコ 黒ずみ 色素沈着 秋葉原中央クリニック ホットペッパービューティー

口周りの黒ずみ シミ取り 肝斑 毛穴治療の治療方法 適応

池袋の美容皮膚科 美容外科ならみずほクリニック

池袋の美容皮膚科 美容外科ならみずほクリニック

鼻の毛穴汚れ黒ずみ角栓大掃除 吸引でとる ピーリング レーザーで開きもケアしたので見てほしい Ayakoのぶっちゃけ美容会議

口周り黒ずみ女子は必見 髭剃りが原因の黒ずみケア方法5選 口ひげ で失敗しないために 女性の口周りの産毛処理方法

唇のふちの黒ずみ 原因と対策方法は 唇ケアにおすすめのリップetc 11選 Lips
助けてください ニキビ跡や口の横の黒ずみに長年悩まされています Yahoo 知恵袋

リフトアップを美容皮膚科でするなら 南青山スキンケアクリニック アンチエイジングや若返りをお考えなら 口元の老化予防には 口呼吸 に注目 リフトアップを美容皮膚科でお考えなら 南青山スキンケアクリニック

口角の黒ずみが治った方法を大公開 原因を理解して再発防止 くちびるガビガビ Note

レーザーで治療 出来るだけ 痛くない 治療なら ポンタがいる歯医者 ウエノデンタルクリニック 阪急三国駅前

唇のふちの黒ずみ 原因と対策方法は 唇ケアにおすすめのリップetc 11選 Lips

インティマレーザー 膣引き締め 尿漏れ 黒ずみ改善 の治療効果と その副作用は 公式 オザキクリニック 美容整形 美容外科 美容皮膚科 東京新宿 目黒祐天寺 羽村

リップティント 唇のボリューム 血色 しわ ザラつき治療 公式 秋葉原中央クリニック 美容外科 美容整形
画像見えにくくてすみません 最近髭を剃り始めてか 口の横のところが茶色 Yahoo 知恵袋

口 唇 公式 秋葉原中央クリニック 美容外科 美容整形

毛穴シュリンクレーザー ハードです 青山エルクリニック院長ブログ

黒ずみ除去 ガーデンクリニック 美容整形 美容外科

鼻の下の黒ずみは治し方がある 皮膚や爪の黒ずみは放置しないで対策しましょ ネイル女子 Have A Nice Day Tomorrow ネイル女子 Have A Nice Day Tomorrow

口の周りの黒ずみに悩んでいる方 ガールズちゃんねる Girls Channel

レーザー治療

インティマレーザーの感想 東梅田内本泌尿器科で施術を受けた人の体験談 腟ペディア チツペディア
口周りの黒ずみを取る 3つの方法 Wikihow

ケアシス 赤岩口駅より徒歩1分 大島整形外科クリニック

肝斑 かんぱん の治療 美容整形 美容外科 船橋中央 青山セレスクリニック
口周りの黒ずみを取る 3つの方法 Wikihow

Amazon プラス カラーレーザー用紙 両面セミ光沢紙 中厚口 100シート入 56 276 レーザープリンタ用紙 文房具 オフィス用品
画像あり 口周りの黒ずみが酷すぎます 唇の色も気になります これでも Yahoo 知恵袋

唇のふちの黒ずみ 原因と対策方法は 唇ケアにおすすめのリップetc 11選 Lips

口 唇 公式 秋葉原中央クリニック 美容外科 美容整形

小金井市 三浦歯科 院内設備

膣引き締め 尿漏れ 黒ずみ改善レーザー インティマレーザー 副作用 効果について 銀座 麻布十番 大阪 奈良の美容皮膚科 美容整形 美容外科なら敬愛会 公式

婦人科形成 公式 オザキクリニック 美容整形 美容外科 美容皮膚科 東京新宿 目黒祐天寺 羽村

写真あり 唇のシミを東京 皮膚科のレーザーで消してきた 料金と効果は 海の見える幸せのおうち

鼻の毛穴が開いていて黒ずみ 角栓が気になる 南青山皮膚科スキンナビクリニック お悩み相談室

肝斑 かんぱん の治療 美容整形 美容外科 船橋中央 青山セレスクリニック

池袋の美容皮膚科 美容外科ならみずほクリニック

ニキビやニキビ跡の治療一覧 毛穴の黒ずみ 開き 角栓の治療法 品川美容外科 全国版

インティマレーザーの感想 東梅田内本泌尿器科で施術を受けた人の体験談 腟ペディア チツペディア

大阪 淀屋橋 北浜 大江橋クリニック 唇 くちびる のご相談

膣引き締め 尿漏れ 黒ずみ改善レーザー インティマレーザー 副作用 効果について 銀座 麻布十番 大阪 奈良の美容皮膚科 美容整形 美容外科なら敬愛会 公式
人気の美容皮膚科医による 安いシミ取り 質問回答 西宮美容クリニックの美容 美肌ブログ

公式 秋葉原中央クリニック 美容外科 美容整形

歯グキの黒ずみがレーザーで直らなかった方へ 北インター歯科クリニック 院長ブログ

40代 女性 口周りの黒ずみ 肝斑 症例写真 美容整形 美容外科なら聖心美容クリニック

健康保険の使えるレーザー治療器 木下歯科医院 徳島県小松島市の歯医者さん 一般歯科 小児歯科 入れ歯 レーザー治療 インプラント

名古屋市で歯茎の黒ずみの治療なら澤歯科へ

レーザー脱毛 メディカルエステ For Men 荒木医院 メディカルエステ 美容皮膚科 皮膚科 アレルギー科

歯グキの黒ずみがレーザーで直らなかった方へ 北インター歯科クリニック 院長ブログ

美容皮膚科は埼玉県川越市のゆり皮膚科へ

歯ぐきの黒ずみの治療でレーザー治療は綱島の歯医者 ほんだ歯科

インティマレーザー 尿漏れ 膣縮小 黒ずみ 公式 オザキクリニック 美容整形 美容外科 美容皮膚科 東京新宿 目黒祐天寺 羽村
口の周りの黒ずみが気になります 画像のように パッと見ヒゲみた Yahoo 知恵袋
人気の美容皮膚科医による 安いシミ取り 質問回答 西宮美容クリニックの美容 美肌ブログ

アレキサンドライトレーザー レーザー治療 恵比寿院 東京都渋谷区 美容皮膚科シロノクリニック
口周りの黒ずみを取る 3つの方法 Wikihow

乳頭 乳輪の黒ずみ除去 美容整形は東京美容外科

口角の黒ずみが治った方法を大公開 原因を理解して再発防止 くちびるガビガビ Note
